Географическая патология

20.10.2025
АНДРЕЙ АКУЛОВИЧ,
врач-стоматолог,
к. м. н., профессор РУДН, президент «Общества по изучению цвета в стоматологии», специалист по флюорозу зубов

Флюороз — тема непростая. Тех, кто действительно глубоко разбирается в этом диагнозе, в России да и в мире единицы. Среди них — профессор Андрей Акулович.

Он не только один из первых, кто системно занялся изучением флюороза в стране, но и разработал эффективную авторскую методику эстетической коррекции.

В этом материале — взгляд эксперта на географию заболевания, диагностику, профилактику и современные подходы к лечению.

КАРТА ФЛЮОРОЗА

В основном этому заболеванию подвержены дети в возрасте 6–8 лет с появлением зубов постоянного прикуса и проживающие в местно­сти, где в питьевой воде переизбыток содержания фторидов. География и эпидемиология флюороза пол­ностью между собой коррелируют. Фтор в водопроводной воде — это следствие природного залегания его соединений в грунтах. Если открыть карту с отмеченными фтористыми поясами — такой документ суще­ствует, например, у Всемирной организации здравоохранения, — становится понятно: очаги флюо­роза неравномерны, но устойчивы и вполне предсказуемы.

В России зарегистрировано более 20 эндемичных очагов, и один из крупнейших — в Московской области, особенно в Красногорском, Одинцовском и Щелковском районах. Также на стоматологической карте страны выделяются Тверская, Рязан­ская области и Республика Мор­довия, где фиксируются наиболее тяжелые формы флюороза из-за экс­тремально высокого содержания фтора в воде.

За фтористыми поясами заболевание, как правило, не встречается. Исклю­чение — искусственные очаги, соз­данные человеком. К ним относятся производственные зоны вблизи алюминиевых заводов, производства фосфатных удобрений или эпок­сидных смол.

Фториды — побочный продукт этих видов производств — часто попадают в окружающую среду: сбрасываются в водоемы или проникают в почву. Теоретически при закрытии производства или экологи­ческой санации территории частота случаев флюороза должна снизить­ся — однако в России и в мире не ве­дется систематическая статистика по обратной динамике.

Проблема флюороза остро стоит и в других странах, расположенных во фтористых поясах Земли: в Ин­дии, Пакистане, Китае, Казахстане, а также некоторых странах Африки и в Мексике.

КЛАССИФИКАЦИЯ ПО СТЕПЕНИ ТЯЖЕСТИ

В России при диагностике и описа­нии степени флюороза используется классификация В. К. Патрикеева, адаптированная к отечественной кли­нической практике. Она основывается на принципе наличия или отсутствия дефекта твердых тканей и делит флюороз на легкие и тяжелые формы.


КЛАССИФИКАЦИЯ В. К. ПАТРИКЕЕВА ДЛЯ ОПРЕДЕЛЕНИЯ СТЕПЕНИ ФЛЮОРОЗА

  • Легкие формы: штриховая, пятнистая и меловидно-крапчатая. Эти формы характеризуются сохранностью целостности эмали, отсутствием наруше­ния минерализации вглубь структуры зуба и, как прави­ло, имеют только эстетиче­ское значение.
  • Тяжелые формы: эрозивная, деструктивная. В этих случаях наблюдается нарушение целостности эмали, вплоть до утраты фрагментов твердых тканей.

В международной практике так­же используется классификация по Dean’s Index, основанная на про­центе поражения коронковой части зуба. Однако в России она применяется реже, поскольку отечествен­ная система дает более клинически значимую оценку с точки зрения лечебной тактики.


ПРЕДВАРИТЕЛЬНЫЕ МЕРЫ

Поскольку флюороз, как правило, возникает у детей на стадии фор­мирования эмали постоянных зубов и проявляется спустя несколько лет после начального действия фак­тора — употребления фтористой воды в раннем детстве, то устранить причину задним числом невозможно. Учитывая этот факт, в эндемичных ре­гионах нужно начинать профилактику флюороза с рождения ребенка. Глав­ный принцип: он должен употреблять только бутилированную воду. Причем это касается не только питья, но и всей пищи и напитков, приготов­ленных на воде: супов, каш, чая.

Если диагноз «флюороз» поставлен в младшем возрасте, то не реко­мендуется использование фторидов в зубных пастах, потому что фтор уже начал оказывать разрушающее воздействие на формирование кристаллической решетки эмали, не стоит добавлять его из зубных паст.

У подростков же, начиная примерно с 13–14 лет, ограничивать фтор в зубных пастах не так важно — флюороз уже сформировался, и процесс завершен. Если с флюорозом появляется кариес (а для флюороза это не характерно, но все же возможно), некоторые специалисты, наоборот, активно реко­мендуют фторсодержащие пасты для укрепления эмали. Единого мнения по этому вопросу нет, и подход выби­рается индивидуально.


ДИФФЕРЕНЦИАЛЬНАЯ ДИАГНОСТИКА: ФЛЮОРОЗ, КАРИЕС, ГИПОПЛАЗИЯ

Одна из задач, с которой сталкивается врач-стоматолог, — кор­ректная дифференциальная диагностика флюороза. Его внешние проявления могут напоминать другие состояния, прежде всего на­чальный кариес, гипоплазию эмали и системную деминерализацию.

КАРИЕС

Визуально выделяется изменением цвета и структуры эмали.

Реагирует на кариес-маркеры.

ГИПОПЛАЗИЯ ЭМАЛИ

Чаще бывает очаговой, может затрагивать всего один- два зуба.

Поражает глубокие структуры эмали.

СИСТЕМНАЯ ДЕМИНЕРАЛИЗАЦИЯ

Возникает при нарушениях обмена веществ, алиментарных дефицитах, регулярном и продолжительном употреблении сахаросодержащих газированных напитков и неудовлетворительной гигиене полости рта.

Отличается по распределению и клинической динамике.

ФЛЮОРОЗ

Самый важный диагностический критерий — регион проживания пациента.

Кариес-маркером не окрашивается, так как не является кариозным поражением.

Это всегда системное поражение, затрагивающее все зубы или группу зубов.

Поражает преимущественно поверхностные слои эмали.


Андрей Акулович первым делом спрашивает пациента с симптомами, напоминающими флюороз, в каком регионе он провел детство и юность. Если место проживания не входит в перечень эндемичных зон — например, Мордовия, Тверская, Рязанская области, Подмосковье, — диагноз «флюороз» становится менее вероятным

ПОДРОСТКОВЫЙ ЗАПРОС

Флюороз, особенно в его легких формах, чаще всего не требует кли­нического вмешательства. По сути, единственное показание — эстети­ческий дискомфорт пациента. До тех пор, пока пятна на зубах не начинают мешать психологически, флюороз — это просто анатомическая особен­ность, с которой можно спокойно жить всю жизнь.

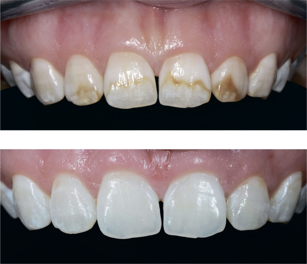
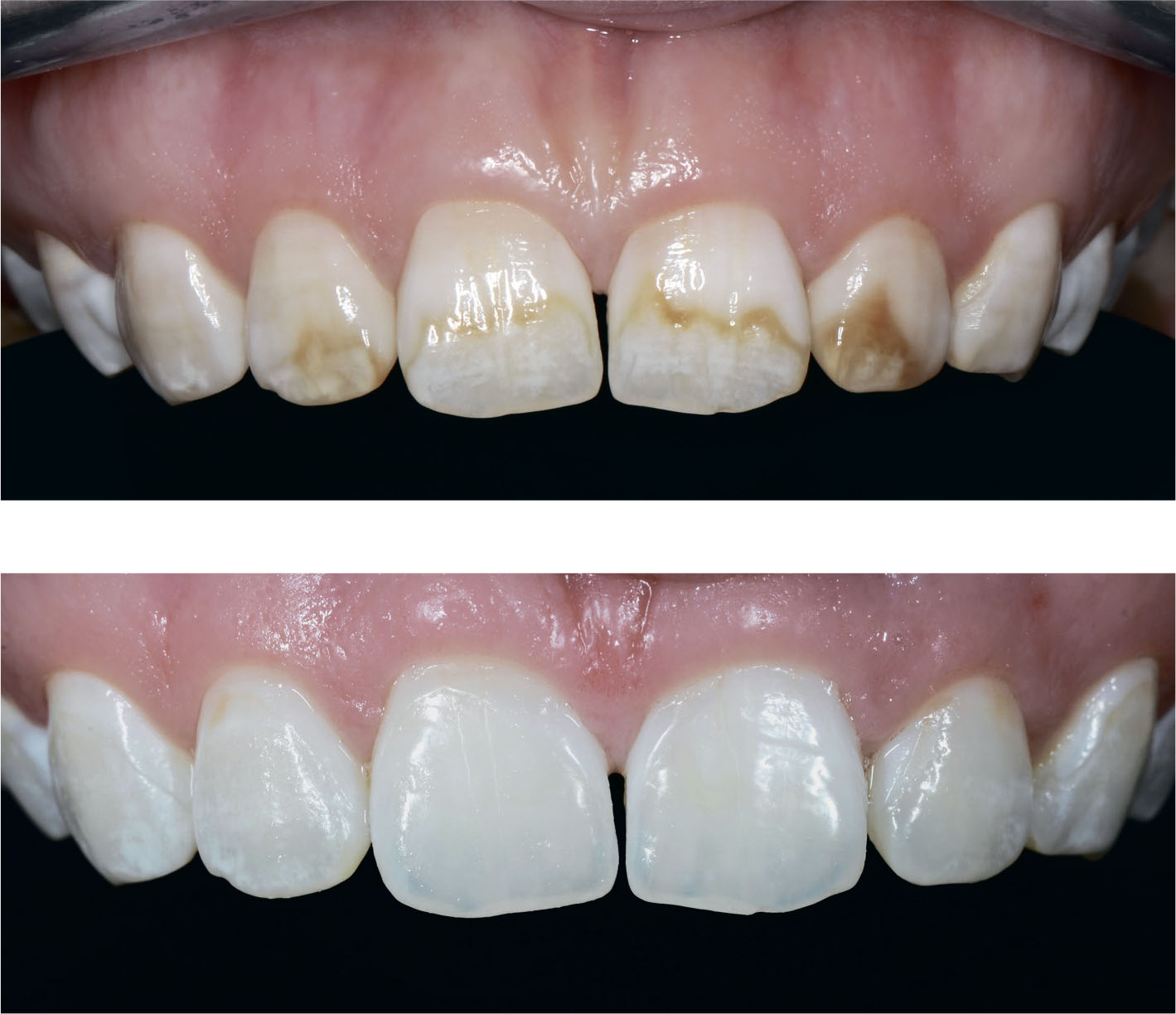
Когда появились неинвазивные методики, пациенты получили шанс сохранить свои зубы и улучшить эстетику. Но это не замена виниров. Эффект не будет идентичным, хотя в большинстве случаев достаточно микроабразии, и человек остается со своими зубами на всю жизнь. На изображении: пациент Андрея Акуловича до и после микроабразии

На практике пациенты с флюоро­зом приходят только тогда, когда их начинает волновать внешний вид. Чаще всего это происходит в подростковом возрасте, когда начинаются первые симпатии, общение, стремление нравиться — тогда возникает запрос на «сделать красиво».

С этой точки зрения работа с флюо­розом — это эстетическая стомато­логия, а не лечебная. И здесь важны не только клинические результаты, но и тонкое понимание ожиданий пациента.

Классическим порогом содержания фтора в питье­вой воде считается 1,5 мг/л — этот уровень многие десятилетия указывается в нормативных докумен­тах как верхняя граница безопасной концентрации. Однако в жарких регионах этот показатель снижается до 1,0 мг/л, так как при повышенной температуре воздуха человек потребляет значительно больше воды — и, следовательно, получает больше фтора даже при меньшей концентрации в одном литре.

РЕКОМЕНДОВАННОЕ СОДЕРЖАНИЕ ФТОРИДА (PPM) В ДЕТСКИХ ЗУБНЫХ ПАСТАХ


ВСЕ ЕЩЕ КИПЯТИТЕ?

Одна из рас­пространенных ошибок — уверен­ность, что кипячение избавляет от фтора. Это не так: уровень фтора в воде после кипячения не снижается, а в некото­рых случаях даже растет. Поэтому важно использо­вать бутилированную воду до момента форми­рования постоянного прикуса: именно в этот период формируется эмаль зу­бов, и фтор может повлиять на ее структуру.


ВСЕ «СПИЛИТЬ»

Методы реминерализующей тера­пии остаются важной частью ком­плексного подхода, однако только ремтерапия не способна устранить эстетические проявления флюороза. Она работает на укрепление струк­туры эмали, улучшение микрофлоры, повышение устойчивости к кариесу, но не может устранить пигментацию или визуальные дефекты. На протяжении многих лет эсте­тические жалобы пациентов с флюорозом решались радикально: с помощью виниров или коронок. Это означало обязательную обточку зубов — иногда вполне здоровых — и дальнейшую реставрацию. Это дорогостоящая процедура.

Есть и бюджетная альтернатива — композит. Композитные «нашлепки» на фронтальные зубы действи­тельно могут временно решить проблему. Но с клинической точки зрения — это паллиатив. Материал со временем темнеет, скалывается, набирает влагу, а самое главное — требует постоянной полировки, чтобы не терять блеск. Это недолговременное и эстети­чески неустойчивое решение. Альтернатива: микроабразия + ремтерапия + отбеливание.

Современная малоинвазивная альтернатива — методика микроабразии эмали, сочетающая щадящее механическое удаление пораженного поверхностного слоя, реминерализующую тера­пию и клиническое отбеливание. Это позволяет добиться замет­ного улучшения цвета и текстуры эмали без обточки и протезиро­вания.


ДОПОЛНИТЕЛЬНАЯ МЕРА ПРОФИЛАКТИКИ ФЛЮОРОЗА —

регулярные курсы реминерализирующей терапии с использованием проверенных составов, например, R.O.C.S.® Medical Minerals. Это помогает укрепить кристаллическую решетку эмали и снизить риск нарушений при ее формировании.